Creating Beautiful Faces and Stunning Smiles

Request A Free Consultation

Welcome To Scottsdale Dental and Facial Aesthetics

Providing Individualized Treatments Designed To Enhance Your Natural Beauty

At Scottsdale Dental & Facial Aesthetics, our mission is to provide our patients with the highest quality dental care and facial aesthetic treatments available in a comfortable and caring environment.

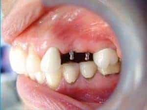
Led by one of the best cosmetic dentists in Scottsdale, Dr. Todd Shatkin has over 30 years of experience and is recognized worldwide as an innovator in the field of dentistry. He currently holds several dental-related patents, foremost being his F.I.R.S.T. technique, which allows dentists to replace missing teeth in a single office visit.

Dr. Shatkin and his team have helped thousands of patients enhance their smiles and rejuvenate their appearance by utilizing the latest technology and techniques in the field of dentistry and facial aesthetics. We strive to build relationships with every patient and when you come to our office, you are treated like a member of our extended family. 

Our office is equipped with the most advanced dental technology available today including CBCT Cone-beam x-rays, intra-oral cameras, mini dental implants (using Drive Lock Technology), and the most modern dental equipment in order to provide our patients with the highest-quality, minimally invasive care with faster, more accurate results. 

We also have the support of our own full-service dental lab to fabricate restorations. This drastically reduces the time it takes to create your new smile and minimizes your wait time between appointments. By utilizing our own state-of-the-art dental lab, we can also ensure all restorations are made in the USA with the highest quality materials and expert craftsmanship.   

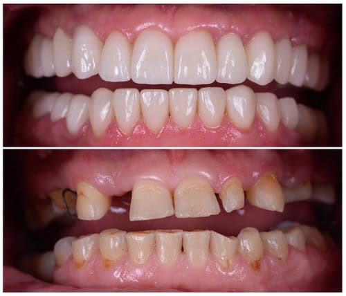
In addition to cosmetic dentistry services, we provide dental implants, porcelain veneers, dentures, dental bridges, full-mouth reconstruction, dental crowns, teeth whitening, and a variety of facial aesthetic treatments including Juvéderm, Restylane, Radiesse, Aquagold Fine Touch, Sculptra Aesthetic, RHA Collection, and other dermal fillers to help revitalize and renew your natural beauty. Call (480) 566-6532 today for a free consultation.

Patient Portal

Hear From Our Patients

    FREE CONSULTATION

    Fill out the form to request your complimentary consultation for cosmetic dentistry or facial aesthetics.


    Elevate Your Natural Beauty

    Facial aesthetics is not just about looks. These clinically safe treatments have also been shown to boost confidence and self-esteem by providing age-defying results that enhance your natural beauty and soften the effects of time, stress, and work. Facial aesthetic treatments have also been shown to effectively treat pain associated with TMJ, headaches, and migraines.  Schedule a free consultation today.

    Cosmetic Dentistry & Facial Aesthetics in Scottsdale, AZ

    Why Choose Scottsdale Dental & Facial Aesthetics?

    Free Consultations

    We understand that seeking dental care and facial aesthetic solutions can be intimidating, and many patients have no idea where to start. This is why we simplify the process by offering free consultations for new patients.

    You can meet with our providers to discuss your concerns and desired outcome. We’ll work with you to design a custom treatment plan free of charge.

    Personal Attention

    Our Scottsdale dentists and facial aesthetic specialists are truly passionate about providing you with cosmetic dental treatments and facial aesthetic services that can last for years, or even a lifetime.

    Dr. Todd Shatkin and his medical team take the time to understand your needs and goals in order to provide you with the personalized care you deserve to surpass your expectations.

    Latest Technology

    At Scottsdale Dental & Facial Aesthetics, we utilize the latest technology and innovations in the industry to diagnose and treat your dental issues and facial aesthetic concerns.

    This allows us to address your issues in the easiest, and least invasive way possible. Having fast and simple treatment helps you to enjoy your new smile and appearance in no time at all!

    Request A Free Consultation

    About Todd E. Shatkin, DDS

    FADI, FICD, FICOI, DIAMDI. Member ADA, Member AGD, Fellow ICOI, Fellow ICD, Fellow ADI, Member AACD. Dr. Todd Shatkin is the co-founder of Scottsdale Dental and Facial Aesthetics in Scottsdale, Arizona. Dr. Shatkin has been in private practice in dentistry since completing dental school at the University of Pacific. Dr. Shatkin specializes in all types of cosmetic and implant dentistry, including the newest “mini dental implants”, which can be immediately “loaded” with dentures or prosthesis, to offer an immediate solution to loose fitting dentures or one or more missing teeth.

    He has been in the forefront of new dental procedures and is an expert in dental bleaching, and has developed and patented several tooth whitening products throughout the dental industry. He is a member of the American Dental Association, Academy of General Dentistry, Fellow at the International Congress of Oral Implantologists, Fellow at the International College of Dentists, Fellow at the Association of Dental Implantology, and a Member of the American Academy of Cosmetic Dentistry.

    Request A Free Consultation

    About Seerat Mann, DDS

    Dr. Seerat Mann is the co-founder of Scottsdale Dental & Facial Aesthetics in Scottsdale, Arizona. She helps patients throughout Arizona eat and speak with comfort and confidence.

    Dr. Mann received her dental degree from New York University. Further, she completed her residency in general practice at NewYork-Presbyterian Hospital. She is a member of the American Dental Association.

    Aside from her specialty in mini dental implants, she helps patients with a variety of dental concerns including bleeding gums, scaling and root planning, root canal therapy, cavities, dentures, Invisalign alternatives, teeth whitening, dental crownsdental bridgesporcelain veneers, and more. During her free initial consultation, she fully assesses and explains patients’ conditions and helps them choose an appropriate treatment plan. She is fluent in English, Hindi, and Punjabi.

    Dr. Mann utilizes the latest in dental technology to provide the safest and most effective treatments available including same-day crowns and mini dental implants. She looks forward to working with you to achieve excellent oral health and a beautiful smile you’ll love sharing with the world!

    Request A Free Consultation