Dental Bridges in Scottsdale, AZ
Providing Affordable Dental Bridges to Replace Your Missing Teeth
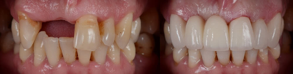
If you are struggling with missing teeth, you may find yourself experiencing a range of issues that impact your quality of life. Patients with one or more missing teeth may have feelings of low self-esteem and go out of their way to hide their smiles. Some patients suffer from difficulty chewing due to missing teeth, making it hard to enjoy everyday meals.
When you have one or more missing teeth, a dental bridge could be the exact solution you need. Dental bridges use a combination of dental crowns and implants to restore a full, healthy smile. These procedures are minimally invasive treatments, some of which can give you same-day results.

Scottsdale Dental and Facial Aesthetics provides dental bridges and mini dental implants to help patients replace their missing teeth. Dr. Todd Shatkin has been providing dental implants for more than 30 years, having placed over 30,000 throughout his career. Learn more about our dental bridge and implant options below.
What Are Dental Bridges?
Dental bridges or implants are a dental restoration treatment that aims to resolve one or more missing teeth. According to the American Academy of Implant Dentistry, more than 3 million people have had at least one dental implant placed.
A dental bridge is usually made of dental crowns that sit on either side of the missing tooth or teeth. These crowns then support a false tooth that is cemented in place of the missing one.
Signs You May Need a Dental Bridge or Dental Implants
Many patients struggle with dental issues in silence, not knowing that these problems can easily be resolved with dental bridge placement. If you are experiencing any of the following signs or symptoms, you may be a candidate for dental implants or a dental bridge:
- One or more missing teeth
- Difficulty chewing
- Bite misalignment
- Change in speech
- Excess stress on your teeth and jaw
- Pain in your teeth, gums, or jaw
- Feelings of self-consciousness over your smile
If you are experiencing these symptoms or other dental concerns, a consultation with one of the experts at Scottsdale Dental and Facial Aesthetics can help. We will assess your dental issues free of charge to determine whether dental bridge placement is the right treatment to meet your needs.
Types of Dental Bridges
There are various types of dental bridges that can be placed, depending on the patient’s unique needs. The following are some of the most common dental bridges that patients can receive.
Traditional Fixed Bridge
Traditional dental bridges are the most common type of bridge placed in patients with multiple missing teeth. In a traditional dental bridge, two or more crowns anchor a bridge of filler teeth in place. Traditional bridges can be made of metal, ceramics, or porcelain fused to metal.
Cantilever Bridge
Cantilever bridges differ from traditional bridges in that only one crown is used to hold a filler tooth in place. An abutment tooth can be placed on either side of the missing tooth, holding the pontic or implant in place. This is often used when there are only teeth present on one side of the missing tooth.
Maryland Dental Bridge
Also known as a resin-bonded bridge, a Maryland dental bridge is often used to address teeth that are missing in the front of the mouth. In this type of bridge, implants or a dental bridge are supported by a framework of wings that bond to the existing teeth. These bridges can be made of ceramic or porcelain fused to metal.
Mini Dental Implants
Scottsdale Dental and Facial Aesthetics specialize in the placement of mini dental implants. Mini dental implants are a type of dental implant that is minimally invasive and provides the patient with fast results.
The Benefits of Mini Dental Implants
Mini dental implants are a popular procedure in cosmetic dentistry because they offer a variety of benefits. Below are just a few of the reasons patients choose mini dental implants.
Budget-Friendly
At Scottsdale Dental and Facial Aesthetics, we understand that financial concerns are an important factor for patients seeking dental care. This is why we offer free consultations and payment plans to help patients receive their mini dental implants at an affordable cost.
Minimally Invasive
Many patients are apprehensive about receiving dental work because they worry about the extent of the procedure. Some patients fear going under anesthesia, while others are worried about any discomfort the treatment may cause. Mini dental implants are a great option for these patients, as they are minimally invasive.
Same-Day Results
One of the best things about mini dental implants is that patients see their results the same day as their appointment. When patients choose mini dental implants, they can receive complete treatment in a single visit and go home with a brand-new smile in a matter of hours.
Frequently Asked Questions About Dental Bridges
If you’re interested in having a dental bridge placed, you may have some questions or concerns before seeking treatment. The following are some of the most frequently asked questions patients have about dental bridges.
Will My Dental Bridge Look Natural?
The team at Scottsdale Dental and Facial Aesthetics goes above and beyond to make sure that your dental bridges are the perfect match for your smile. Dental bridges can be composed of a variety of materials and custom-made to fit with your existing teeth.
Is It Hard to Eat with a Dental Bridge?
Some patients are concerned about how a dental bridge may impact their ability to eat. The reality is that a dental bridge can actually improve your ability to eat. Patients often have difficulty chewing due to missing teeth. When a dental bridge is placed, this is resolved.
Will My Dental Bridge Need Special Care?
Once your dental bridge is placed, proper oral hygiene will help maintain its integrity. Brushing twice a day and flossing daily will keep your dental bridge clean and free of bacteria. Having regular visits with your dental health provider will also help keep your bridge strong and stable.
How Quickly Can I Have a Dental Bridge Placed?
Traditional dental bridges typically take two appointments to complete. The first appointment is to take impressions of your existing teeth and measurements of the spaces in which teeth are missing. This is to ensure that your custom-made dental bridge is a perfect fit. Once your unique bridge is crafted, you will be able to have it placed during a second appointment.
Mini dental implants are a simpler dental bridge option that can take place in a single visit. A free consultation with the team at Scottsdale Dental and Facial Aesthetics can determine whether you are a good candidate for mini dental implants.
Dental Bridges at Scottsdale Dental and Facial Aesthetics
Are you in need of a dental bridge or mini dental implant? Dental bridges can help you restore your smile and feel like the best version of yourself. Scottsdale Dental and Facial Aesthetics provide a variety of cosmetic dental services, including dental bridges and implants.
Dr. Shatkin works with patients throughout the Scottsdale area and surrounding cities. We offer numerous options for payment plans to help patients with any budget achieve their dream smile. To book your free consultation, please contact us online or by phone today.
