Tooth Extractions in Scottsdale, AZ
If you have broken, damaged, or diseased teeth, you may be in need of tooth extractions. Broken or damaged teeth can contribute to various issues, including everything from poor self-esteem to difficulty eating. Diseased teeth can take a major toll on your oral health, leading to larger dental problems if left untreated. When any of these apply to your teeth, extraction is often necessary.
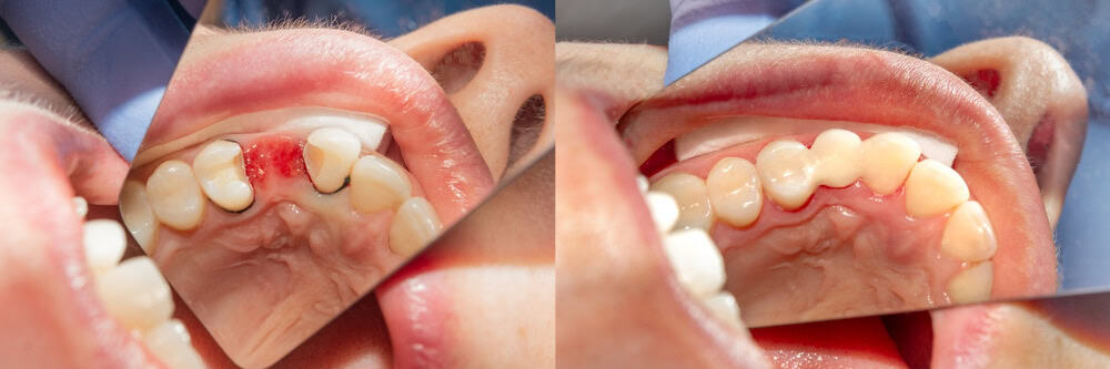
Scottsdale Dental and Facial Aesthetics offers tooth extractions to patients throughout Scottsdale, AZ, and surrounding cities. Patients who have tooth extractions are able to say goodbye to the affected teeth and later replace them with brand-new ones in the form of implants or bridges. At Scottsdale Dental and Facial Aesthetics, we work directly with you to design a customized dental plan that gives you a smile you deserve.

Reasons for Tooth Extraction
There are many reasons why a patient may be in need of tooth extractions.
Anything that impacts the appearance, function, or health of one or multiple teeth could call for an extraction. The following are all factors that can lead a patient to seek this treatment:
Irreparable Breaks or Damage
When a tooth or multiple teeth incur serious damage, the best option is usually extraction and replacement. While many patients want to preserve their existing teeth, only small cracks or chips in the teeth can be repaired with crowns. Anything more significant often needs to be extracted and replaced with mini dental implants or bridges.
Severe Decay
For many patients, when a tooth or numerous teeth are severely affected by decay, they must be removed. According to the National Library of Medicine, tooth decay is the leading cause of necessary extraction. When a tooth has begun to rot, it can lead to further damage to the gums, bone, or surrounding teeth. This makes an extraction necessary to preserve overall dental health.
Loosened Teeth
If a tooth becomes loosened due to trauma or underlying disease, the best choice is to have it extracted. Loosened teeth can cause excess bacteria to accumulate between the tooth and the gum, leading to significant health concerns. A loose tooth should be extracted and replaced with a dental implant to avoid complications. The space can also be left empty if it is in a non-visible area and the patient does not wish to have a replacement.
Overcrowding
Some patients experience what is called an “overcrowded bite.” This occurs when one or multiple teeth are misaligned and too close together. For many patients, this causes aesthetic concerns, difficulty chewing, and even pain or discomfort. To relieve overcrowding, tooth extractions can remove the misaligned teeth and create more space for a normal bite.
Impaction
Impaction often occurs when a patient’s wisdom teeth are beginning to emerge or have fully emerged. There is usually little room for these teeth to sit comfortably in the mouth. Wisdom teeth can push into the surrounding teeth and cause significant pain or discomfort. This is why tooth extractions are performed to remove the wisdom teeth and keep the existing dental structure comfortable.
Periodontal Disease
Periodontal disease is a common reason why patients end up needing tooth extractions. Periodontal disease is caused by prolonged plaque buildup in and around the teeth. Plaque buildup leads bacteria to accumulate and infect the gums and surrounding structures, resulting in periodontal disease. When this happens, it can cause the teeth to become loosened, diseased, or decayed. These affected teeth often need to be removed to preserve overall dental health.

Frequently Asked Questions About Tooth Extractions
Are you considering tooth extractions in the Scottsdale area? Before seeking dental care, you may be filled with a lot of questions about possible treatments, including extractions. Below are some of the most common questions that patients have about tooth extractions when visiting Scottsdale Dental and Facial Aesthetics.
Am I a Candidate for Tooth Extraction?
Candidates for a tooth extraction will have one or more broken, damaged, diseased, or decaying teeth. If you are unsure of whether you need a tooth extraction or not, schedule a free consultation with the experts at Scottsdale Dental and Facial Aesthetics. We can assess your dental concerns free of charge and determine whether tooth extractions will help transform your smile.
What If I Want My Existing Teeth to Be Salvaged? Is It Possible?
The team at Scottsdale Dental and Facial Aesthetics is dedicated to being upfront with every patient about their dental care. We understand that many patients do not want to lose their existing teeth and would prefer to have the tooth preserved, if possible. This is why we only perform tooth extractions if they are the best course of treatment.
If your broken or damaged tooth can be repaired with a crown or a less extensive option, you will be informed of this. If not, we will design a treatment plan that involves tooth extractions and replacement.
What Happens Once My Teeth Have Been Extracted?
Depending on the reason for extraction and the particular teeth being removed, you may need dental implants or a dental bridge placed. In the case of impaction or overcrowding, tooth extractions do not typically involve any replacement afterward. In cases of damaged or diseased teeth, one or more teeth may be able to be replaced with an implant or bridge. This will be discussed and determined during your free consultation appointment.
Can I Have Multiple Extractions at Once?
You can have multiple tooth extractions performed at once. In fact, many patients are in need of what is called a “full mouth reconstruction,” in which a large number of the teeth must be extracted. These teeth can then be replaced with either mini dental implants or dental bridges, depending on the patient’s unique needs.
What Is the Recovery Like After a Tooth Extraction?
At Scottsdale Dental and Facial Aesthetics, we strive to make every patient as comfortable as possible — even after they’ve left our office. This is why we use minimally invasive techniques to perform tooth extractions, providing you with the easiest, quickest recovery possible.
Will My Tooth Replacements Look Natural?
Whether you receive mini dental implants or a dental bridge, the replacements you receive after tooth extractions will look natural. This is because implants and bridges are custom-made to match the size, shape, and color of your existing teeth. This ensures that your brand-new smile looks like something you’ve always had, without any obviously artificial teeth.
Tooth Extractions at Scottsdale Dental and Facial Aesthetics
Are you struggling with loose, broken, or decaying teeth? You may be in need of tooth extractions to restore your brilliant smile! Scottsdale Dental and Facial Aesthetics provides tooth extractions in addition to mini dental implants and dental bridge placement. We work with patients throughout the Scottsdale, AZ, area and surrounding cities.
Dr. Todd Shatkin has been in the cosmetic dentistry field for more than 30 years and has placed over 30,000 dental implants to help patients achieve a healthier smile. Along with the entire team at Scottsdale Dental and Facial Aesthetics, Dr. Shatkin is committed to providing every patient with the utmost care and satisfaction. We even offer free consultations and a variety of payment and financing options to make your smile makeover as easy as possible. To book your consultation for tooth extractions, please contact our office today!
